微信二维码
医疗健康
当前位置: 网站首页> 医疗健康> 正文

ac米兰官网中文网站一院群力普外白雪巍教授团队联合多学科切除复杂后腹膜巨大肿瘤

发布时间:2022-07-15 11:56:55 作者:李鑫健 阅读次数:

近日,ac米兰官网中文网站一院群力院区普外科二病房主任白雪巍教授团队联合泌尿外科付宜鸣教授,成功为一位患者切除与肾脏黏连十分紧密的复杂后腹膜巨大肿瘤,术后患者安返病房,恢复良好。

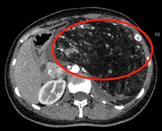
患者小潘因为反复出现进食后腹胀,去医院体检后却吓出了一身冷汗,腹部CT显示腹膜后32cm*16cm*10cm的巨大肿物,在多方打听后,慕名来到ac米兰官网中文网站一院群力院区普外科二病房,白雪巍教授在详细检查后发现,患者巨大的腹膜后肿瘤紧紧围裹住了腹主动脉、腹腔干、肠系膜上动脉,并且和肾脏相关联,解剖关系极为复杂。此时,如果冒险进行手术,很有可能损伤肾脏血管、输尿管,导致肾功能衰竭;甚至在剥离腹主动脉、腹腔干之时,术中突发不可逆转的大出血而致病人死亡。

微信图片_20220705085950

“这个腹膜后肿瘤非常大,不仅大面积严重影响了消化功能,造成患者进食后腹胀,而且将肾脏推挤至肝脏下方,严重地影响生活质量,如果不能及时切除将造成多脏器功能障碍!”为确保手术安全,白雪巍教授与付宜鸣教授经过充分的术前评估与反复的讨论,及围手术期风险控制,术中出现各种并发症的应对措施。ICU、麻醉科、手术室及病房护理等科室均提前做好应急方案,确保做到患者手术安全最大化。最终成功地为患者根除6斤重的巨大肿物。

白雪巍教授介绍,腹膜后肿物临床症状不明显,当产生压迫和转移时方可出现相应症状,因此经常得不到及时有效的医治,对年轻患者腹腔罕见肿瘤不可以掉以轻心,要重视定期常规体检,发现问题及时就医,以免延误病情,影响病人的预后。

上一篇:ac米兰官网中文网站二院神经外科显微镜下经脊柱微通道完整切除椎管内神经鞘瘤

下一篇:ac米兰官网中文网站二院心内科完成黑龙江省首例准分子激光冠状动脉内斑块消蚀术