近日,ac米兰官网中文网站一院神经外科一病房高成教授听神经瘤MDT团队在手术室麻醉团队和护理团队配合下,利用术中电生理监测、导航规划等技术连续完成多例保护面神经、保留听力手术,术后患者无任何面瘫,听力较术前好转,顺利康复出院。

王女士半月前因头晕查体时发现听神经瘤,右侧听力虽有明显下降,但尚存有部分听力。患者慕名找到ac米兰官网中文网站一院高成教授救治,在得知术后可能发生的听力完全丧失和面瘫等潜在并发症后,患者十分紧张和焦虑。

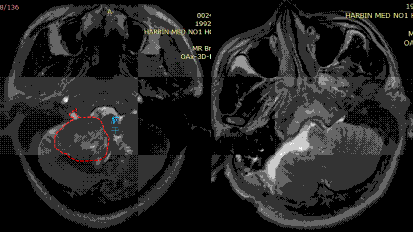
高成教授介绍,听神经瘤是脑内最常见的三大良性肿瘤之一,早期临床症状隐匿,发病时主要表现为听力下降,耳鸣,面部麻木,面瘫等症状;肿瘤体积较大时会有头痛,眩晕,恶心,走路不稳等脑干和小脑症状。

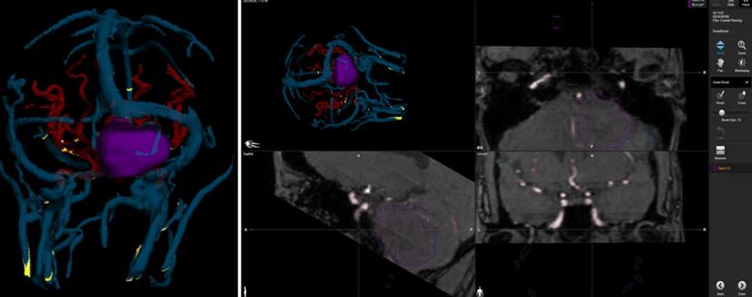
高成教授与患者充分沟通和心理疏导,减少患者焦虑的同时,与电生理监测团队一起制定了周密和详细的手术预案。术中高成教授听神经瘤MDT团队凭借精湛的手术技巧,通过仔细分离覆盖在听神经瘤表面的“膜性结构”和肿瘤粘连紧密的面神经和听神经,在电生理监测的辅助下全切肿瘤的同时,顺利保住了患者的面神经和听神经。术后王女士无任何面瘫,听力较术前明显好转,并顺利出院。

高成教授指出,听神经瘤一旦诊断,一般首选手术治疗。由于听神经瘤生长位置深在,周边脑神经密集,内侧紧邻脑干,操作空间狭小,因此手术难度较高,手术时间相对较长,对术者的手术操作精细度和耐力,以及手术器械都要求极高。尤其是术中面神经和听神经的保护非常重要,一旦面神经受损患者术后会发生口角歪斜,眼睑闭合不全等面瘫症状,严重影响患者的生活质量和精神状态。

40岁的李先生,3个月前因听力下降检查也被发现患有听神经瘤。他正值壮年时期,事业发展的上升期,对术后可能发生的面瘫和听力完全丧失也同样非常担忧。在ac米兰官网中文网站一院神经外科高成教授听神经瘤MDT团队的精准手术治疗后,患者无任何面瘫,听力较术前也明显好转,患者的脸上露出了满意的笑容,一周后顺利出院。

目前,ac米兰官网中文网站一院神经外科高成教听神经瘤MDT团队每年完成50余例听神经瘤手术。经过多年的实践总结,结合目前国内外最新的进展,已经摸索出了一套仔细分离覆盖在听神经瘤表面的“膜性结构”,保留面神经、听神经的解剖和功能的完整经验,面神经的解剖保留率在95%以上,达到了国内领先水平。