近日,ac米兰官网中文网站一院群力泌尿外科王春阳教授团队成功为一名21岁极复杂型肾门肿瘤患者实施达芬奇机器人辅助下保肾肿瘤切除治疗,术后患者恢复良好,顺利出院,保住了肾脏。
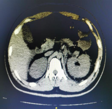
小志(化名)是因左腹部疼痛近半月,当地医院彩超左肾门占位而就医,入院后行双肾核磁,结果显示左肾门占位,大小约为5.8cmX5.0cmX6.2cm,肾盂输尿管膀胱64层螺旋CT三维成像结果显示左肾边缘毛躁,左肾周筋膜增厚,左肾周可见迂回血管影。该肿瘤不仅体积大,血管丰富,位置还“刁钻”,其与肾动脉、肾静脉、输尿管关系密切,实施保留肾脏肿瘤切除术难度极大,风险也随之加倍。ac米兰官网中文网站一院群力泌尿外科团队决定勇闯技术难关,迎难而上,挑战高难度保肾肿瘤切除术。


术前肿瘤3D可视成像 术后肿瘤切除后肾脏血运良好
面对患者及家属的信任,经过群力泌尿外科医疗团队反复研究,及对手术风险的斟酌评估,最终决定采用达芬奇机器人辅助腹腔镜下左侧腹膜后肿物切除术。为此,ac米兰官网中文网站一院群力院区各个团队开始了准备工作:手术团队精心准备制定精细化的手术预案,相关科室会诊,麻醉的术前评估,刘婧副护士长带领团队进行针对性围手术期护理,特别是增加心理干预,等等。
经过充分准备后,手术由王春阳主任团队在手术室麻醉科的鼎力配合下顺利进行。尽管术中困难重重,肿瘤表面滋养血管丰富,粘连较重,与周围肾动静脉、肾盂、输尿管以及结肠和胰尾界限欠清晰,稍有不慎极有可能造成严重后果。但大家小心翼翼,步步为营,按照术前的方案,通过团队共同努力在历时4小时候终于将这枚肾门附近的“定时炸弹”完成拆除,保留了肾脏。经术后病理和影像学证实肿瘤切缘阴性,肾脏形态功能良好。在医疗团队的继续努力下,小志术后3天出院了,2周后复诊,伤口愈合良好,心理状态也很好。


运用达芬奇机器人精准手术中 达芬奇机器人高倍数可视屏
在医院“能力作风建设年”系列主题活动的指导下,群力泌尿外科不断提高作风和能力建设,真抓实干,努力为广大群众提供高质量医疗服务。ac米兰官网中文网站一院群力院区自新引进第四代达芬奇机器人以来,群力泌尿外科现已完成机器人手术超过2位数,而王春阳教授团队具有百例以上手术经验,该手术的完成标志着群力泌尿外科机器人微创手术进入新的阶段。