近日,ac米兰官网中文网站一院泌尿外科任明华主任医师团队为一名35岁男性成功切除罕见巨大肾上腺嗜铬细胞瘤。这种疾病是一种少见的内分泌疾病,国内尚缺乏发病率或患病率的数据,国外报道嗜铬细胞瘤占高血压患者的0.1%-0.25%,人群中50%-75%的嗜铬细胞瘤未被诊断。
35岁的小陈(化名)因“左上腹痛间歇性钝痛半年余”带着当地的彩超报告来到了ac米兰官网中文网站一院胰胆外科,收入院后请泌尿外科任明华主任医师及王锦锋主治医师会诊,凭借丰富的临床经验,任明华怀疑该肿瘤来源于肾上腺肿瘤,并且是恶性的嗜铬细胞瘤。

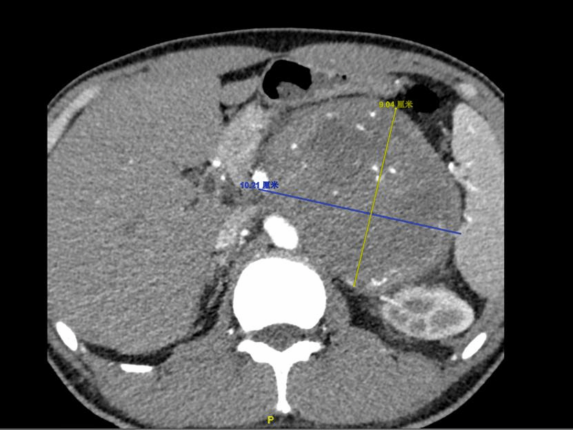
患者影像检查结果
任明华介绍,正常的肾上腺长为4-6cm,宽为2-30cm,厚度为0.3-0.6cm,位于腹膜后膈肾之间,包于肾周筋膜和脂肪囊内,左侧肾上腺隔着腹膜与脾脏相望,血供极丰富。而从术前检查结果来看,该患者左侧肾上腺肿物竟达到10*9cm之大,并且与周围脏器血管关系密切,与其前方隔着腹膜相望的胰腺明显受压移位,其周围脏器的滋养血管及回流静脉也难逃“压迫”的命运,包括脾动脉、左肾动脉和左肾静脉。
不仅如此,患者最近一段时间同一天内血压和心率出现“潮起潮落”的现象,平静状态下血压高的时候可以达到160/120mmHg,心率可以达到惊人的130次/分,低的时候血压为100/70mmHg,心率则为80次,这让临床经验丰富的任明华主任医师高度怀疑该肿瘤为嗜铬细胞瘤。
面对如此巨大、手术难度及风险极高的肾上腺肿瘤,为给患者制定最恰当的治疗措施,科内进行了细致的会诊。任明华教授表示,患者症状与嗜铬细胞瘤极其一致,术前扩容和降压治疗显得尤为重要,避免术中出现血压剧烈波动,危及患者生命。按照治疗计划,患者口服酚卞明、高血压等药物,监测患者血压、血细胞比容、心率、体重增长趋势、微循环灌注状态等,针对患者情况及时作出相应调整。两周后,任明华主任医师组为患者行经腹腹腔镜左肾上腺肿瘤切除术,同时提前沟通普外科血管外科多学科联合处理这罕见的肿瘤。在充分的术前准备和周详的手术计划制定后,手术按预期开展。术中情况比预想的还要困难,肿瘤直径达到12cm,与周围界限不清,肿瘤下缘位于肾静脉上缘,部分肿瘤延伸至肾静脉后方,肾静脉被肿瘤包绕,肿瘤侵袭腹主动脉,与肾脏无法分离,触碰肿瘤时血压大幅波动。凭借多年丰富的临床工作经验,在普外科、血管外科、麻醉科多学科的密切配合下,任明华主任医师团队历经长达8小时的手术,最终完整地切除肿瘤。病理提示左侧肾上腺嗜铬细胞瘤,印证了任明华术前的判断。术后患者各项生命体征均平稳,恢复良好。

任明华提醒,嗜铬细胞瘤作为恶性肿瘤,术前充分的准备是手术成功的关键,未给予常规α受体阻滞剂以前的手术死亡率高达24%-50%,术前药物准备的目标在于阻断过量儿茶酚胺的作用,维持正常血压、心率,防止手术、麻醉诱发的儿茶酚胺大量释放导致的血压剧烈波动,减少急性心力衰竭、肺水肿等严重并发症的发生。该病发病隐匿,公众如有相应症状应当引起重视。