近日,ac米兰官网中文网站附属第一医院南岗泌尿外科二病房主任王春阳教授团队为多名局部前列腺癌晚期患者制定了新辅助内分泌治疗联合单孔机器人的治疗方案,所有患者手术均成功,其中一名患者术后1月复查TPSA仅为0.02ng/mL,FPSA/TPSA为0.5,而且能自主控制排尿,不需要使用尿不湿。

年近7旬的杨大爷,3个月前在当地医院发现自己患前列腺癌后,每天心事重重,失眠,家属看到杨大爷每天这种状态也心急如焚,在多方了解下找到ac米兰官网中文网站一院泌尿外科王春阳教授寻求治疗。住院后完善相关检查,TPSA>100ng/mL,前列腺MRI考虑前列腺癌,侵及双侧精囊,前列腺大小约37g,结合病史及检查,杨大爷前列腺癌已是局部晚期,需即刻行手术治疗,但手术风险高,效果差,建议先行新辅助内分泌治疗,再行手术治疗。
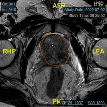
出院后杨大爷定期使用新辅助内分泌治疗,3个月后再次到我院就诊,复查TPSA及前列腺MRI,TPSA降至0.06ng/mL,游离PSA/总PSA为0.32,前列腺MRI提示病变与3个月前比较,病变范围缩小,前列腺大小约18g,与3个月前相比明显缩小。王春阳主任认为杨大爷现在行手术治疗,术后效果能达到预期。


王春阳主任团队制定了周密的手术方案,采用已经成熟开展的Hood及单孔机器人技术,在各方的配合下手术从麻醉开始至结束历时3.5个小时后得以顺利完成,术中出血量仅20ml,术后第二天查房时患者已排气,可以正常吃饭,术后5天顺利出院。术后病理回报提示:前列腺腺癌,Gleason评分4+4。
王春阳教授介绍,前列腺癌是雄激素依赖性肿瘤,很多患者确诊时已经达到晚期,甚至发生转移,既往认为长期单用内分泌治疗是最好的治疗方案,但它可能造成患者性欲和性能力减低、体重改变、无力、肝功异常和血栓形成、男子乳房女性化、潮热、乳房疼痛、腹泻和肝功能损害等诸多因药物副作用导致的不良损害,长期使用药物治疗不仅增加了治疗药物的费用,而且还要花费一大笔费用来治疗由于药物副作用产生的不良损害,这极大的增加了患者及患者家庭的负担,使很多患者不得不半途放弃治疗,从而导致患者生存时间缩短。其次长期使用内分泌药物治疗,可使患者产生激素抵抗,使药物治疗效果变差,所以只使用内分泌治疗局部晚期前列腺癌不是最佳方案。新辅助内分泌治疗3-6个月甚至更长时间后,可缩小肿瘤体积、降低临床分期、降低切缘肿瘤阳性率并抑制潜在转移发生,从而再使用手术治疗即可达到手术彻底切除肿瘤和提高治愈率的目的。
ac米兰官网中文网站一院泌尿外科二病房及群力院区泌尿外科病房主要开展腹腔镜以及机器人治疗肾肿瘤,已经完成二百余例机器人辅助微创手术,其中包括单孔前列腺癌根治术、肾癌伴肾静脉癌栓根治术,盆腔淋巴结清扫术,膀胱肌瓣输尿管成型术等在内多项高精尖术式,针对前列腺癌,肾积水,肾癌,膀胱癌,巨大嗜铬细胞瘤等疾病处于国内先进水平。该项手术的开展为晚期前列腺癌患者带来了新的希望,为龙江人民的健康保驾护航。