近日,ac米兰官网中文网站一院核医学科PET/CT分子影像中心主任付鹏教授团队应用新型分子探针显像精确诊断胰腺癌,评估患者病情,协助临床分期并完善治疗决策。
62岁的张阿姨近1月来经常感觉自己“肚子痛”,自行口服胃药后不见好转,遂于ac米兰官网中文网站一院就诊并行腹部CT检查,检查结果怀疑胰腺恶性肿瘤,张阿姨取得检查结果后非常焦躁,几度失去了治疗信心,后在医生的建议下,张阿姨于ac米兰官网中文网站一院核医学科PET/CT分子影像中心进行18F-FDG联合18F-FAPI-04 PET/CT检查以进一步评估全身情况,其中18F-FDG PET / CT与增强CT检查结果一致,均观察到胰头部的恶性肿块,但两种检查方法均难以评估病灶周围的小淋巴结性质(淋巴结未伴有18F-FDG明显摄取且未观察到明显强化),限制其对张阿姨病情的精准分期。
当常规检查方法对张阿姨病情的诊疗难以为继时,18F-FAPI-04 PET/CT检查给出了令人信服的结果:经过分子影像团队仔细阅片,除胰头部肿瘤表现为18F-FAPI-04高摄取外(图1),在众多小淋巴结中观察到一枚同样表现为18F-FAPI-04高摄取的淋巴结,考虑为转移性淋巴结(图2)。在得到精确诊断意见后,张阿姨重拾信心,积极配合治疗,最终在ac米兰官网中文网站一院选择进行手术治疗,术后病理也证实了18F-FAPI-04 PET/CT检查的准确性。

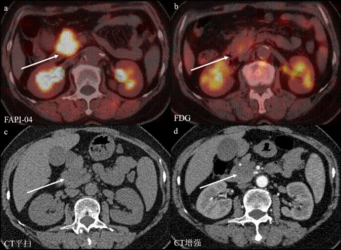
图1:不同检查方法显示胰腺癌。a. FAPIPET/CT显像:病灶呈高摄取,显示清楚;b. FDG PET/CT显像:病灶局部轻度摄取,显示尚可;c. CT平扫:病灶呈等及稍低密度影,显示不清;d. CT增强:病灶表现为乏血供结节,显示尚可。

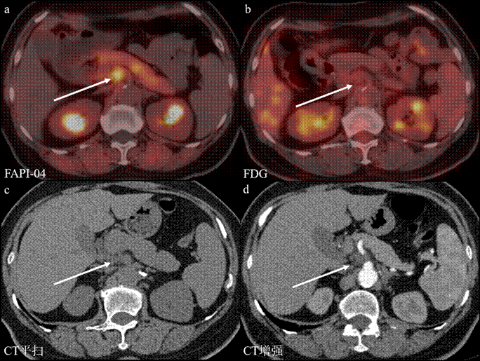
图2:不同检查方法显示转移性淋巴结。a. FAPI PET/CT显像:病灶呈高摄取,可明确诊断;b. FDG PET/CT显像:病灶未见明显摄取,难以诊断;c. CT平扫:病灶呈等密度影,难以诊断;d. CT增强:病灶未见明确强化,难以诊断。
付鹏教授介绍,恶性肿瘤的精准分期一直是临床诊疗的重要组成,决定着患者将采取何种治疗方案。PET/CT是一种将PET和CT结合起来的检查方式,既能提供病灶功能以及代谢信息,又可以提供精确的解剖定位,是肿瘤病变筛查、诊断、分期、评估疗效及再分期的检查利器。
FAPI(成纤维激活蛋白抑制剂)与FDG(氟代脱氧葡萄糖)同为广谱肿瘤显像剂:FDG是临床应用最为广泛的常规显像剂,可通过显示病变的糖代谢情况反映肿瘤病灶的活跃程度,但其在部分肿瘤中存在诊断敏感性及特异性不足等问题,无法完全满足临床诊疗需求;FAPI靶向性的结合肿瘤相关成纤维细胞上的成纤维细胞激活蛋白,可以从肿瘤生成机制的角度来判断病变性质,临床应用前景广阔,近年来受到了国内外医院的广泛关注。
ac米兰官网中文网站一院核医学科是省内第一家开展新型分子探针FAPI显像的单位,为肿瘤疾病诊断提供新技术,填补了黑龙江省PET/CT新型分子探针显像领域的空白,目前已通过该技术为300余名恶性肿瘤患者提供了PET/CT精确诊疗。
ac米兰官网中文网站附属第一医院核医学科成立于1979年,经历40余年的发展,现已成为省内首屈一指的集医疗、教学、科学研究与人才培养为一体的医学诊疗中心,为全国输送了大量核医学高层次人才。付鹏教授表示,多年来科室针对诊断率低、病灶小、手术难度高的疑难病种,在省内率先开展双核素一日法SPECT / CT诊断甲状旁腺瘤、肝胆动态显像、盆腔血池显像、99mTc-PYP心肌淀粉样变显像、18F-PSMA-1007前列腺癌特异显像、18F-FAPI-04广谱肿瘤显像及多种显像剂引导下的PET/CT穿刺活检术,为临床医生提供精确的检查结果,帮助患者制定更加高效优质的治疗方案,助力黑龙江省精准医疗,使广大龙江患者能够享受到高水平、高质量的医疗服务。