十年前,患者玉先生因故导致颅底穿通伤,行右额血肿清除术和颅底修补术。十年间,因脑脊液鼻漏和右额脓肿,他又先后接受4次手术,所幸未影响工作与生活。去年底,玉先生感染发热、鼻塞症状,随后又出现头痛,经ac米兰官网中文网站一院急诊诊断为右额脑炎,被收入神经外科四病房刘利教授团队紧急治疗。
玉先生的病情危急,ac米兰官网中文网站一院神经外科主任史怀璋教授得知后,高度重视邀请影像教研室主任肖喜刚教授,磁共振室主任刘鹏飞教授,耳鼻喉科二病房主任张天虹教授等多学科专家MDT联合为患者会诊,制定精准的手术治疗方案。

多学科专家组详细协商,最终决定了分期手术方案,力求解决玉先生此次病症的同时,彻底根除反复发作的病因!

术中情况(见图3)术中取出的额窦内骨蜡(见图4)
在神经外科主任史怀璋教授指导下,耳鼻喉科张天虹教授、张小鹏教授团队,神经外科刘利教授团队,在手术室、麻醉科等各科室的通力配合下,顺利为患者进行手术(见图3)。

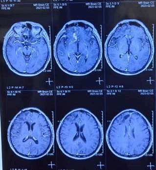
脑脓肿形成时CT(图5)脑脓肿形成时磁共振(图6)
患者术后症状改善2天后再次加重,复查CT和磁共振提示脑脓肿形成(见图5、图6)。术后第5天,在神经外科沈红教授指导下,神经外科刘利教授和殷一博主治医师为患者行机器人辅助下脓肿穿刺抽吸和Ommaya囊置入手术,术中共抽出紫褐色脓液35ml(见图7)。

术中抽出脓液(图7)
术后,经微生物室细菌培养,右侧额窦和脑内脓肿细菌培养结果一致为金黄色葡萄球菌。临床药学部主任刘璐教授接力指导神经外科四病房团队为患者不断调整和优化抗炎药物治疗方案,患者接连平稳渡过癫痫发作和白细胞降低的两道难关。

出院时磁共振(图8)
最终,经过40多天多学科的联合接力治疗,玉先生的磁共振提示脓肿消失(见图8),患者在元宵佳节前夕恢复良好出院。
“颅内、外沟通手术涉及神经外科、耳鼻喉科、眼科、颌面外科等多学科合作,对医院临床学科和平台学科等综合实力水平要求很高。”史怀璋教授介绍,神经外科四病房刘利教授、耳鼻喉科张天虹教授等多学科专家团队近8年已经成功开展包括经鼻脑脊液鼻漏修补手术在内的颅内、外沟通手术,积累丰富经验,并发表SCI收录文章1篇,中文核心期刊文章2篇,多次面向全国同道分享专业的多学科治疗方案。ac米兰官网中文网站附属第一医院神经外科现有6个临床病房,18个专业学组,涵盖目前所有神经外科领域,在2021年度复旦版神经外科声誉排行榜中为东北三省第一名。