家住哈市道外区的周先生已年过八旬,耄耋高龄的他肝右叶有一大血管瘤(直径约9cm),因有破裂大出血风险,医生建议手术切除。周先生担心自己年龄较大,又有脑梗,且抱有一定侥幸心理,未选择手术治疗。
近日不幸的事情还是发生了,周先生在家中洗澡时不慎跌倒后,感到右侧上腹剧烈疼痛、头晕,之后出现了意识模糊,家人紧急用120将周先生送到ac米兰官网中文网站一院。
“肝血管瘤破裂、失血性休克,可能危及生命。”
急诊医生紧急将周先生送入重症医学科(ICU),经过重症医学科康凯教授、陈宁宁医生等团队医护人员的奋力抢救,输血科紧急为患者输血,周先生暂时保住了性命,但肝脏仍然在出血。为找到出血点,止住出血,重症医学科康凯教授立即联系肝脏外科林汉教授进行会诊。

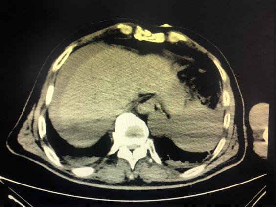
腹腔内出现大量血性积液
“输血的速度赶不上出血的速度,血压和血红蛋白持续下降,心率仍在攀升,失血性休克无法纠正且进一步加重!”肝脏外科林汉教授回忆抢救周先生的危急时刻时感叹。
“肝血管瘤破裂出血非常凶险,患者必须紧急手术否则挺不过今晚。”在迅速评估周先生病情后,肝脏外科林汉教授迅速准备,在ICU、麻醉科、手术室的全力配合下当即为周先生进行了急诊剖腹探查手术。周先生腹腔内已经出血2000余ml,相当于他体内总血量的一半。林汉教授仅用不到两个小时就控制住出血,并将破裂的肝血管瘤切除。

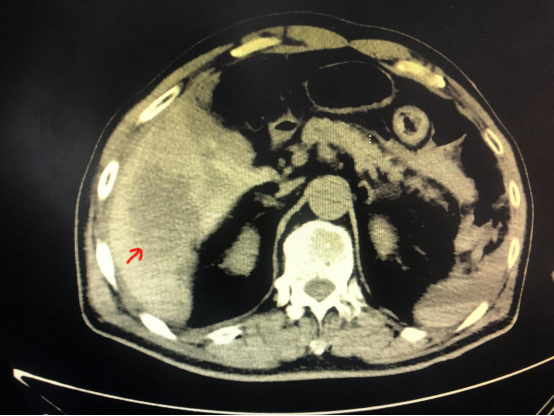
CT所示血管瘤位置
术后周先生返回ICU继续治疗,生命体征稳定,血红蛋白逐渐上升。第二日早晨已经苏醒,当天从ICU转入普通病房,并于5天后康复出院。
周先生前期的抢救工作很及时、很成功,为手术赢得了时间。林汉教授介绍,肝血管瘤是肝脏的最常见良性肿瘤,当肝血管瘤较大、位于肝脏边缘和临床症状的时候,需要手术切除。
ac米兰官网中文网站一院肝脏外科是全国最早开展精准肝切除的六家医院之一,现已全面开展包括肝脏移植在内的肝脏外科疾病全谱系手术治疗,并全面实现微创化。