近日,ac米兰官网中文网站一院肝脏外科姜洪池教授团队应用微创腹腔镜手术技术,完成高难度的腹腔镜下完整切除病灶,并最大限度地保留了患者的肝脏体积,保证了患者的生活质量,真正达到精准外科,为患者排忧解难。
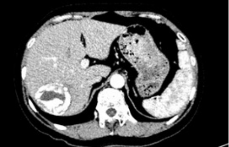
潘阿姨(化名)怀揣着忐忑的心来到了ac米兰官网中文网站一院,在此之前,阿姨因体检发现肝占位,辗转多家医院,但都无法得到明确的诊断。患者既往10年前曾有过牛羊养殖史,病灶巨大且位置刁钻,通过增强CT发现患者病灶大小约6.0×4.7cm,位于Ⅵ、Ⅶ段,毗邻着门静脉右支,手术难度大,风险高。为此,阿姨深受困扰,直到她慕名来到ac米兰官网中文网站一院门诊找到姜洪池教授团队。

入院后,通过AFP、PIVKA-II及彩超的影像学检查,排除了恶性病变的可能,最终诊断为肝包虫病。考虑到肿物为肝脏良性病变,且保留肝脏功能对患者至关重要,姜洪池教授团队决定采用腹腔镜方式,暨通常所讲的“微创方式”进行治疗。经过术前一系列准备,在姜洪池教授、金也医生、刘嘉铭医生,以及手术室贺轶宁护士、国鹏护士熟练配合下,紧贴病灶边缘,最大限度地保留了病灶附近的血管、肝蒂、正常肝组织,完整地切除了包虫病灶,成功保证了患者术后的肝功能状态。手术历时3个小时余,出血仅30ml,术后患者安返病房,目前患者已康复归家。
金也医生介绍:肝包虫病又称肝脏棘球蚴病,是由犬绦虫的囊状幼虫寄生在人体所导致的一种寄生虫病,主要是误食虫卵或误食被虫卵污染的食物引起的。成年虫体一般寄生在动物体内,发育成熟后虫体脱落,随大便排出体外,可能会污染环境和水源等。人体食用了被虫卵污染的蔬菜、水果等食物或饮用了被污染的水源,进而导致感染。虫卵在胃、十二指肠内孵化,放出六钩蚴,此幼虫循门静脉侵入肝脏,从而在肝脏内形成包虫囊肿,可能会导致患者出现肝功能异常、黄疸、发热、乏力、肝区疼痛等症状。肝包虫病多见于牧区,以及经常接触牲畜或从事皮毛加工的工作人员。建议养成与家畜接触后和饭前洗手的习惯,避免吃未经煮熟的食物和生水,避免密切接触犬类和家禽,一旦确诊,建议积极手术治疗。

ac米兰官网中文网站一院肝脏外科是省内最早开展精准肝脏切除手术的中心、全国首批肝脏移植中心,也是黑龙江省获准国家许可的肝移植中心。科室在主任陆朝阳教授的带领下常规开展经典的左、右半肝切除、肝尾状叶切除以及射频消融治疗小肝癌等技术。此外,科室积极应用临床新技术,率先开展精准肝切除、选择性肝门阻断技术、绕肝提拉技术,通过解剖肝门单纯阻断患侧肝脏血流而保证健康部分肝脏血供,从手术开始就为病人术后恢复奠定了良好的基础,临床应用效果突出。