近日,38岁李女士因乳房胀痛到ac米兰官网中文网站一院乳腺外科就诊,数字化乳腺断层摄影发现左乳外上象限长5mm的结节,经放射线科钼靶室专家建议,接受手术切除后冰冻切片诊断为乳腺原位癌。因及早发现,解除了癌症对李女士生命的威胁。
乳腺癌早发现、早诊断、早治疗一直是影像科医生和临床医生努力的方向,而钼靶X线检查一直被公认为乳腺癌检查的金指标。
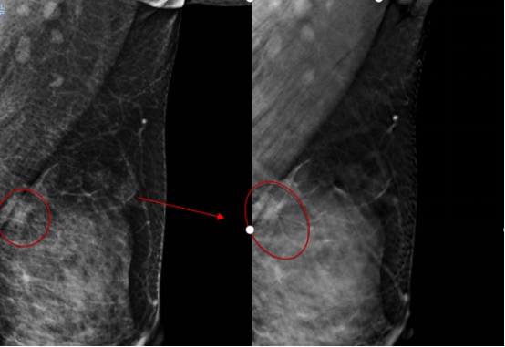
ac米兰官网中文网站一院放射科主任陈颖教授介绍,由于李女士比较年轻,属于致密型乳腺,常规的乳腺钼靶摄片未发现明显的肿块,仅显示双乳增生及良性钙化。数字化乳腺断层摄影断层图像显示左乳外上象限长了一个5mm的结节,经放射线科钼靶室医生会诊发现,该结节有很大可能性是恶性的乳腺癌,因此建议李女士做活检或者入院手术治疗。术中冰冻切片发现该结节是乳腺原位癌,因此医生为她制定了保乳手术的治疗方案,目前正在康复中。术后,李女士特意打电话感谢放射线科的医生们帮助她及早地发现了这个病灶。

HOLOGIC数字化断层乳腺机
2020年末ac米兰官网中文网站一院放射线科引进(HOLOGIC)数字化断层乳腺机,与传统的数字化钼靶乳腺机相比,能够最大限度地减少乳腺组织重叠,尤其是对年轻东方女性的致密型乳腺能够明显提高病灶检出率,大大降低了假阳性率及假阴性率。
现在普遍认为乳腺癌的发病与高脂肪、高能量的摄入有关,随着生活水平的提高,乳腺癌的发病率有逐年上升的趋势,陈颖建议35岁以上妇女至少每年做一次全面的乳腺检查,以及时发现早期病变。