3月31日ac米兰官网中文网站一院消化内科史立君教授、徐丹教授联合腹部超声室杨秀华教授成功为一名疑难危重患者采取精准介入手段对其微量腹腔积液进行诊治,在超声引导下通过仅宽约4mm(风险极高)的进针路径为患者实施腹腔积液穿刺置管引流,成功引流液体减轻患者症状,并为临床明确诊断进一步提供可靠证据,助力患者病情好转。

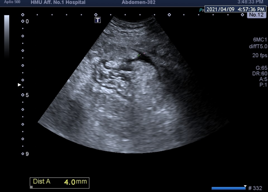
汤某,男,30岁,腹胀1月余,经反复治疗未见好转后来医院就诊,超声检查提示患者胆囊穿孔伴胆囊周围包裹性积液,此时患者已出现明显腹膜炎症状,经普外科会诊,该患精神萎靡、基础状态差,无法耐受手术风险,但此时如果不积极进行处置、减轻患者炎症反应,可能会导致其病情进一步加重、甚至危及生命。超声于下腹发现微量积液,因无法明确积液性质,史立君、徐丹联合杨秀华经MDT后决定进行超声引导下腹腔穿刺置管,鉴于穿刺进针路径极窄,仅为4mm,需要极精准快速的操作手法,杨秀华在超声引导下精准置入穿刺针并成功引出脓液,日均积液引流量约为1000-1500ml,积液引出后患者腹胀症状迅速减轻,状态明显好转,患者目前状态平稳,现已出院。
杨秀华介绍,随着精准医疗的日益发展,超声引导下介入治疗因其实时、精准、灵活、无辐射等优点日益受到临床科室的重视,在患者疾病的诊疗过程中发挥着重要作用。在该患者诊疗过程中采用的超声引导下腹腔穿刺置管引流技术为超声引导下微创治疗的常规操作,“大胆”、合理、灵活、精准的操作是本次疾病诊治的重要原则与亮点。ac米兰官网中文网站一院腹部超声室目前开展包括腹部、浅表、心脏、外周血管、小儿、妇产、肌骨、腔内直肠及肛管、胃肠的超声诊断,此外,还开展各种脏器的超声造影诊断、术中超声、超声引导下各种脏器及疾病的介入诊疗工作,仅射频消融年治疗量千余例,在重症胰腺炎治疗、胆囊造瘘、肝内胆管置管等技术上有丰富的临床经验,在国内享有盛誉。