近日,ac米兰官网中文网站一院泌尿外科刘赞教授团队成功应用达芬奇机器人,为一名患者微创切除左肾芯部4公分肿瘤并成功保肾。患者术后复查,几乎看不出患者的左肾曾切除过肿物。

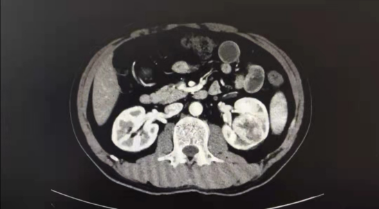
今年7月,51岁的王先生体检发现左肾完全的肾芯部4×5cm占位。考虑到肿瘤尚未转移,王先生辗转省内多家医院,希望能做只切除肿瘤的微创肾部分切除,却均被告知不能保肾。在朋友的推荐下,王先生慕名找到ac米兰官网中文网站一院泌外科三病房刘赞教授团队。

刘赞介绍,此肿瘤大于四公分,属于T1b肾肿瘤,呈完全内生性生长。整个肾的表面都是正常的,肿瘤就像“地雷”长在肾脏芯部,同肾盂、肾门血管关系密切,同时肾脏只能短暂的阻断血供。要保留肾脏,手术过程必须争分夺秒,在有限的血管临时阻断时间内,像拆雷一样,仔细完整地把肾脏里面的“地雷”小心的分离、取出,再缝合肾脏切口与重建肾盂,所以微创腔镜下手术难度非常大。

为保住患者的肾脏,泌尿外科三病房主任修有成教授组织全科会诊,制订由刘赞主刀,姚大勇医生助手,在腹部彩超室吴长君教授团队超声引导协助下,行达芬奇机器人辅助肾部分切除术。
术中,刘赞凭借机器人手术系统具备手术视野倍数大、清晰,操作精细,机械手腕灵活的优点,可以精准找到肾脏肿瘤,把肿瘤一点一点剥下来,精准切除肿瘤,尽可能多的保留正常肾组织。术中肾动脉临时阻断20分钟,最大化减少肾缺血时间,减少缺血再灌注造成的肾功能损伤。机械手臂对肾脏切口进行了精细的三层缝合,最终达到极致保肾的效果,完美的肾结构重建使得患者很快恢复出院。
ac米兰官网中文网站一院泌尿外科三病房目前已完成前列腺癌根治术,膀胱癌根治术,一体位肾盂癌根治术,肾部分切除术等150余例达芬奇机器人手术,均为四级高难度手术。