近日,一院创伤骨科主任谷文光教授带领宋烜赫副教授、张静宇主治医师、王野医师团队成功将关节镜微创技术应用于罕见的Hoffa骨折治疗,并由此实现了关节内骨折的闭合复位、微创通道螺钉固定的目标。
肖女士入院前几天不慎摔伤了左膝关节,局部肿痛,在附近医院检查未诊断出骨折,按照软组织损伤给予治疗。患者回家后由于疼痛不缓解,找到谷文光求治。谷文光完善膝关节磁共振发现患者是罕见的Hoffa骨折合并半月板损伤。
Hoffa骨折是一种股骨远端单髁或双髁后方的冠状位骨折,谷文光介绍,这种骨折比较罕见,隐匿性高,普通X线片常难以发现,非常容易漏诊。

术前三维CT显示股骨内侧后髁冠状位骨折
Hoffa骨折常规手术方案是“先硬后软”,就是一期行骨折切开复位内固定治疗,二期再行关节镜探查修复,会对患者造成两次手术损伤。
为减少患者的身体和经济负担,谷文光根据三维CT等影像学资料,把关节镜技术和创伤骨科技术有机结合,制定了关节镜直视下微创复位,经皮通道螺钉固定修复半月板的手术方案。

术中关节镜下显示关节面骨折线复位前后对比,可见关节外复位后,关节面基本平整,达到解剖复位。
术中,谷文光团队紧密配合,首先修复损伤的半月板,镜下清楚地看到了股骨髁部的骨折线,用复位钳在关节外复位,镜下监视骨折线移位及复位情况,复位满意后克氏针临时固定。随后按照术前方案,由后向前在股骨髁内打入导针,并沿导针置入空心拉力螺钉。由于采用微创手术治疗,术后患者刀口渗出及感染几率明显减低,住院时间由此也显著缩短,术后4-5天刀口清洁换药两次后出院继续康复治疗。

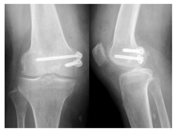
术后正侧位X线片可见,骨折对位对线良好,达到解剖复位,内固物位置良好。
谷文光介绍,由于股骨髁形态不规整,内固定物很容易进入髁间窝导致手术失败,但关节镜可以直视下观察到导针是否穿过髁间窝,这一点比C型臂透视更有优势。由于关节镜技术的辅助,避免了传统的大切口,只需要两个钉孔大小的切口,即可完成微创通道螺钉的置入固定。
关节镜是运动医学的重要武器,以往关节镜主要用于治疗半月板、交叉韧带、肩袖及盂唇损伤等重要软组织为主。近年来,ac米兰官网中文网站一院创伤骨科团队发挥关节镜技术微创、精准、直视等优势,提出运用“软硬兼施”——软组织和骨组织同时一期手术, “内外兼修”——关节内关节镜监视,关节外经皮微创通道固定的新技术新理念,将运动医学的关节镜技术运用到关节内骨折治疗,用新技术和新理念服务龙江人民。