近日,ac米兰官网中文网站一院胰胆外科团队成功为一名胰腺体尾部患有13cm巨大囊性肿瘤并与周围脏器粘连严重的16岁少女,实施微创保脾胰体尾切除术。仅通过腹部上5个1-2cm的切口,切除肿瘤并保留脾脏血管和脾脏功能。
一名16岁少女发现自己的肚子上隆起了一枚婴儿头般大小的巨大包块,经当地医院检查后,诊断为腹腔内的巨大囊性肿瘤,肿瘤性质不明确,在家属的陪同下,患者慕名来到ac米兰官网中文网站一院胰胆外科寻求治疗。
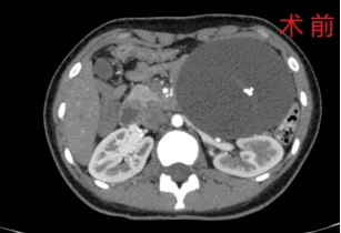
胰胆外科孔瑞主任医师接诊该患者后进行了详细的术前检查,发现这个巨大的肿物位于左上腹部,周围毗邻胰腺体尾部、横结肠、左肾、左肾上腺、小肠等重要脏器,肿瘤起源不确定,考虑来源于胰腺的可能性大。
经过细致的术前准备和充分的沟通,孔瑞主任医师和胡继盛主治医师团队为小女孩实施了腹腔镜探查手术。术中镜下探查发现胰腺体尾部下方有一大小约为13cm×10cm×7cm的巨大囊性肿瘤,肿瘤与周围脏器粘连严重,充分游离粘连后发现肿瘤与胰腺关系十分密切,考虑为胰腺囊性肿瘤。由于患者年仅16岁,术中与家属沟通后决定行腹腔镜下保留脾脏的胰体尾切除术(Kimura法)。
在麻醉科、手术室等多科室通力配合下,孔瑞和胡继盛团队全程在微创下通过腹部上5个1-2cm的切口进行操作,将肿瘤从脾血管上完整游离下来,保留了脾脏血管,同时保留了脾脏的功能。手术历时4个小时,顺利完成。术后病理回报为胰腺粘液性囊腺瘤,具有一定的恶变潜能。术后病人病情平稳,第二天就能离床活动并少量饮水,在治疗组医生和护士的精心护理下,患者很快顺利出院。
孔瑞介绍,该患者肿瘤体积大,与周围脏器粘连严重,特别是与脾门区血管粘连较重,腹腔镜下操作难度较大。考虑到病人年龄小,尽可能保留器官功能更有利于病人的远期预后,因此对病人实施了腹腔镜下保留脾脏胰体尾切除,切除肿瘤的同时完整保留脾血管和脾脏,与传统胰体尾脾切除相比较,更进一步增加了手术难度。


ac米兰官网中文网站一院普外科主任孙备教授表示,胰腺粘液性囊腺瘤是较常见的胰腺囊性肿瘤,好发于胰腺体尾部。胰体尾肿瘤通常与脾血管及脾脏的关系密切,使得胰腺体尾部的手术时常附加脾脏的切除。脾脏作为人体最大的类淋巴器官,对机体免疫系统发生、成熟和免疫功能调节有重要作用。本例腹腔镜下保留脾脏胰体尾切除术难度大,手术技巧要求高,但对病人是更有益处的。该术式较多被应用于胰体尾部的囊肿、囊性肿瘤和神经内分泌肿瘤等胰腺疾病的治疗。
ac米兰官网中文网站一院胰胆外科在国内著名胰腺外科专家孙备教授的带领下,攻破了许多复杂胰腺胆道肿瘤、重症急性胰腺炎等医学难题,打造了一支诊疗水平过硬的外科团队,重症急性胰腺炎、胰腺癌、胆管癌的诊治水平位居全国前列,为东北地区区域性胰腺疾病诊疗中心,省内唯一一家急性胰腺炎临床研究中心,每年吸引大量省内、外患者前来就诊。