近日,ac米兰官网中文网站一院微创胆道外科副主任孟宪志教授成功应用荧光腹腔镜技术为一名75岁胆囊切除术后腹腔黏连严重的胆总管结石患者,取出多枚鹌鹑蛋大小的胆总管结石,并切除胃部肿瘤。患者已顺利康复出院。
入院七天前,老杨晚饭后感到腹胀,紧接着出现恶心呕吐,全身皮肤发黄,尿色加深,于是来到ac米兰官网中文网站一院就诊。经过初步检查,老杨的主要病症确定是在胆总管有几颗鹌鹑蛋大小的结石阻塞整个胆道系统的最终通道,同时CT检查还发现胃也长了肿瘤。

孟宪志接诊后告诉患者先不要着急,住院后详细评估再决定手术方案。入院后经过超声胃镜检查,发现胃上的肿瘤良性可能性大,但患者以前做过开腹胆囊切除手术,而且回忆当时胆囊炎症较重,预计腹腔粘连严重、组织解剖结构不清,胆总管不好暴露,易发生胆道损伤,同时还要将胃部肿瘤一并切除,手术难上加难,微创手术面临不小问题。而且老杨高龄,基础疾病多,开刀手术更是危机重重。微创还是开刀,手术的方式选择是术前讨论的重点内容。最后,综合考量各种因素,为减小患者创伤,孟宪志决定应用荧光腹腔镜技术辅助进行微创手术。
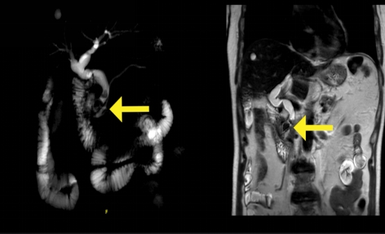
在麻醉科、手术室的通力配合下,手术顺利进行。术中,孟宪志在荧光技术的辅助下,经过细致解剖,顺利找到已经完全脱离原来解剖位置的胆总管,患者胆总管结石被顺利取出,同时将胃部肿瘤也一并切除,经腹壁1cm的小切口取出。术后7天,患者康复出院。
孟宪志介绍,荧光腹腔镜技术是一项新型的手术技术。术前,在患者的血液里注入荧光剂,荧光剂随着血液进入肝脏代谢然后进入胆囊、胆总管等肝内外胆道系统。术中,应用特殊的荧光镜头充当医生的眼睛,就能看见闪闪发光的充满荧光剂的胆管,为医生的手术操作提供导航。术后,荧光剂从患者的消化系统或泌尿系统排出体外,无任何毒副作用。
孟宪志提醒大家,胆石症是常见病多发病,尤其是胆囊结石,主要表现为进油腻饮食后右上腹疼痛不适,可以伴随肩背部疼痛,严重时可有高热、皮肤发黄等症状。胆石症一定要及时处理,否则容易造成严重的并发症如胆管炎、胰腺炎等,甚至引起癌变。随着包括荧光腹腔镜技术等手术操作技术的改进,很多复杂的二次胆道手术都可以进行微创手术,既减少了创伤,同时也保证安全性。