近日,ac米兰官网中文网站一院腹部超声主任杨秀华教授团队应用超声引导下射频消融术联合人工胸水技术成功为一名年轻女患,精准消融6枚紧邻膈肌及血管的多发肝腺瘤。术中,最大程度保护患者膈肌及肺脏,患者快速康复出院。
患者葛某于2021年12月诊断为多发肝腺瘤,在ac米兰官网中文网站一院肝脏外科手术切除其中15cm×10cm病灶,因其余病灶位置散在不适用于外科手术。2022年3月,患者找到肝脏微创外科副主任李林强教授,分析病情后联合腹部超声主任杨秀华教授进行综合评估,共同商榷治疗方案。
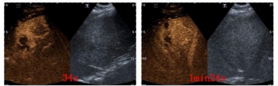
杨秀华对葛某的肝脏进行全面扫查,共检出6枚病灶,分别位于肝S3、S5(与胆囊及门静脉分支位置近)、S6和S7(位置近膈肌、受气体干扰,且治疗过程易损伤),病灶多且位置刁钻成为了治疗的难点,如何在保证安全的前提下对全部病灶进行治疗,成为此次治疗的难题,杨秀华与李林强本着为患者谋求最大益处的治疗原则,决定为葛某行射频消融治疗,一次性消融全部病灶。术前杨秀华团队姜脉涛医生先在超声引导下为葛某建立人工胸水,在麻醉医生紧密配合下,杨秀华凭借丰富的治疗经验,精准布针,仅用2根射频针便完成6枚病灶的完全消融。

杨秀华介绍,肝腺瘤是少见的肝脏肿瘤,多见于育龄女性。肝腺瘤虽为良性肿瘤,但存在破裂出血和恶变风险,一经诊断,无论有无症状,均应尽早干预治疗。

射频后病灶完全消融