近日,ac米兰官网中文网站附属第一医院神经外科二病房滕雷教授团队,通过科学的整合诊疗方案成功救治了一名恶性胶质瘤病人,手术完全切除肿瘤组织,术后患者无神经功能缺失,预后良好。
肢体活动障碍,原因竟在脑肿瘤
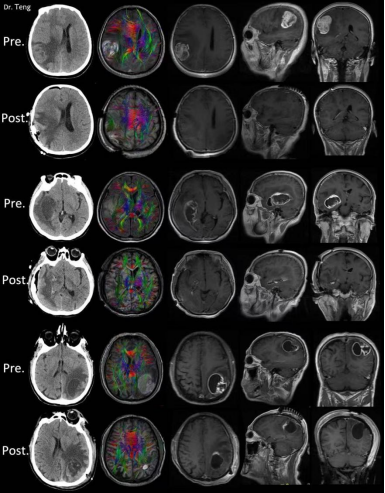
古稀之年的姜先生(化名),因“右侧肢体活动障碍伴记忆力下降加重15天”入院。CT筛查发现大脑内左侧顶叶功能区肿瘤。患者经多方询问,慕名找到滕雷求治,初步诊断为“左顶叶功能区肿瘤”。滕雷给与完善头部MRI及功能MRI检查,并详细评估肿瘤大小、位置、恶性程度及与神经功能纤维束的关系。系列检查显示患者大脑内左侧顶叶有一个直径达5cm的花环状肿瘤占位,功能磁共振结果提示肿瘤高度恶性,肿瘤组织已经严重推挤周围的运动功能区和神经纤维束,导致患者右侧肢体运动障碍。同时,患者出现昏睡的症状,意识状态变差,解除肿瘤的压迫已刻不容缓。

有了胶质瘤怎么办,“整合诊疗”能解忧
根据以上详尽的术前影像学评估,滕雷最终给出确定诊断“左功能区高级别胶质瘤”。面对如此巨大的功能区恶性胶质瘤,滕雷通过多年恶性胶质瘤救治经验结合当今先进的诊疗理念,立刻组织包括神经影像、肿瘤放化疗、神经病理及分子诊断等团队在内多学科会诊(MDT)进行术前详尽讨论,并最终制定以“最大范围安全切除肿瘤辅以术后同步放化疗”的整合诊疗(HIM)方案。

由于患者病情较重,肿瘤涉及脑功能区,单纯手术治疗极易导致患者出现偏瘫等神经功能缺失。滕雷团队在与家属充分沟通后,进行结合术中电生理监测、术中神经导航、术中超声辅助下的多模态开颅肿瘤切除手术。经过精准微侵袭显微手术技术和术中多模态技术结合的手术治疗,患者术后意识清醒,右侧肢体运动逐渐恢复并可下地行走,能够完成日常生活,记忆力和反应迟缓症状明显改善。
术后病理显示该肿瘤为弥漫性胶质瘤,中枢神经系统组织学WHO分级至少3级。由于高级别胶质瘤通常有很多特异性的基因突变,它们能提示肿瘤对化疗和放疗的敏感性、恶性程度的高低、侵袭性的强弱等情况,这是指导恶性肿瘤治疗方案的强有力证据。肿瘤分子病理检测结果显示肿瘤内存在TERT、EGFR、CDKN2A、CDKN2B等基因改变。根据肿瘤整合诊断的要求,滕雷将其整合诊断为“胶质母细胞瘤,IDH野生型,WHO 4级”。分子诊断检出基因变化与细胞生长息息相关,多种基因的突变,提示了肿瘤细胞恶性程度高。同时该患者分子病理也提示肿瘤对化疗药和放射治疗均敏感,再次印证滕雷团队制定的整合诊疗方案是最有效的高级别胶质瘤治疗方式。
根据整合诊疗方案患者病情平稳后接受了辅助同步放化疗。现患者恢复良好,无神经功能缺失,能够完成日常生活,并定期完成术后随访。
“脑胶质瘤整合诊疗(HIM)”是胶质瘤诊疗的最优规范化方案
滕雷教授介绍,胶质瘤具有明显的恶性特征:肿瘤生长迅速,细胞增殖活跃,组织容易发生坏死、出血和囊性变;侵袭正常脑组织,加大抗肿瘤治疗的难度,而且极易复发。如何有效治疗高级别胶质瘤、保护病人的神经功能、提高病人的生存质量、延长肿瘤病人生存时间,成为国内外神经外科医生的重要挑战。“脑胶质瘤的整合诊疗(HIM)”是目前CACA、NCCN等国内外权威指南推荐的一线诊疗方案,涉及到详尽的患者病史、术前包括功能磁共振在内的多模态影像评估、多学科(MDT)协作会诊、术中多模态辅助手术切除、分子病理整合诊断及术后辅助同步放化疗等内容,是胶质瘤的先进诊疗方案。“脑胶质瘤的整合诊疗(HIM)”在国内仅有少数神经肿瘤中心能够规范开展。此种诊疗模式体现了神经肿瘤治疗“个体化、规范化、精准化、整合化”的全新理念;实现了单一手术治疗与多学科诊疗(MDT)的优势互补,充分结合了术中多模态技术与微侵袭显微手术治疗的优势;实现了“手术切除—神经功能平衡”最优目标,在对胶质瘤进行最大范围安全切除的同时,又保护患者神经功能,极大提高患者生存时间,规避单一手术可能会带来的技术不足和风险。
滕雷强调要关爱胶质瘤患者群体,为他们提供“规范化、个体化”诊疗的同时,还要进行定期的细心随访,构建周详的“全程管理”理念,这样才能更好的预防肿瘤复发,改善患者预后。滕雷教授希望通过进一步推广“脑胶质瘤的整合诊疗(HIM)”,在规范胶质瘤诊疗的同时,能够更好地为龙江百姓和需要帮助的胶质瘤患者服务!