“医生,我的右眼还在吗?”得到肯定的回答后,16岁的女孩晓琳(化名)流下了幸福的泪水。近日,ac米兰官网中文网站二院眼科二病房主任孙大卫教授团队精细操作,完整剔除一直径为15.4mm的眼内肿瘤,成功为16岁女孩保住眼球及视力。目前,患者状态平稳,视力正在逐渐恢复,术前发现的视网膜渗出性脱离也在逐步改善中。

孙大卫主任同团队成员张中宇主任医师、蒋博副主任医师术前讨论手术方案
据晓琳的姐姐介绍,一年前妹妹曾向家人提起总感觉右眼有一个黑色的物体遮挡住了视线,有时候看不清黑板,家人以为晓琳只是近视,带她到当地医院眼科就诊却未发现异常,恰逢紧张的期末备考时期,就耽搁了详细的检查和治疗。后来,晓琳右眼眼前黑影遮挡逐渐增大,视力越来越差,影响到学习、生活,晓琳的家人意识到问题的严重性,带她到ac米兰官网中文网站二院眼科就诊。
孙大卫在裂隙灯显微镜下发现晓琳的右眼内有一肿瘤,散瞳后肉眼可见瘤体。进一步检查发现,肿瘤位于患者右眼颞侧12点至6点钟位,纵径接近180度,从晶状体蔓延到眼底赤道部,横径超过15mm(而正常人的眼球直径约23mm),肿瘤在眼内脉络膜生长,瘤体向眼球内突出,高度约12mm。综合测量评估后专家认为肿瘤占据眼内体积的一半以上,且肿瘤生长速度较快,已经造成患者视物的遮挡,并逐渐出现肿瘤相关的眼内并发症,渗出性视网膜脱离,继发性白内障等,病情仍有进一步恶化的可能,建议手术治疗。


医生表示,术前的检查无法完全明确肿瘤的性质,来源于脉络膜的肿物比较罕见且恶性度极高。在与患者家属沟通时,孙大卫指出对于眼内肿瘤的治疗主要有两种方案,一是行眼球摘除,防止肿瘤的转移或扩散,这也是该患者多地求医后,大部分医院给出的治疗意见;另一种方案是行局部肿瘤切除术,尽量保留眼球,但手术风险和难度极大。“这真的是一个很艰难的决定,我妹妹只有16岁,她的人生路还很长,如果失去了右眼,她该如何面对今后的学习和生活,对她的心理会造成多么大的伤害,我真不知该如何跟她解释。”在与患者家属沟通中,晓琳的姐姐伤心不已。因患者年纪小,且尚存0.15的视力,思虑再三,晓琳及家人选择了保眼球的治疗方案。

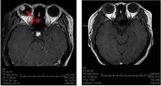
术前和术后的核磁影像学检查结果比较
专家介绍,由于肿瘤体积较大,在进行手术切除时势必造成眼内压力的骤降,极易造成眼球内容物的脱出、视网膜和脉络膜撕裂等严重情况,还可能造成无法恢复的解剖结构的破坏;此外,眼球需要保持透明性才能维持视力,眼压的降低可能诱发球内出血,势必会造成视力的严重下降甚至丧失;更关键的是,肿瘤来源于脉络膜,但良恶性质尚不完全明确,而脉络膜是由色素和大量血管构成的,在切除的过程中非常容易造成无法控制的出血。这些情况将导致患者面临失明,甚至失去右眼的严重后果,大大提升了手术的难度系数。孙大卫团队反复研究,为晓琳制定了显微镜下右眼经巩膜大切口外路切除肿瘤的手术方案。

孙大卫教授为晓琳进行手术
经过充分的术前讨论和准备工作,手术如期进行。术中,在充分暴露巩膜后,通过眼内透照直视下孙大卫准确定位肿瘤的边界,利用比牙签还要细的巩膜隧道刀精准剥离巩膜全层,充分暴露肿瘤,仔细分离肿瘤与脉络膜、睫状体等正常组织结构后,完整地将肿瘤切除,术中维持眼压正常,缝合巩膜U型切口,眼球结构未破坏。整场手术用时约40分钟完成,术中直视检查眼底视网膜结构完好,脉络膜无出血。手术结束后,孙大卫走出手术室告知患者家属术中肉眼及快速冰冻病理结果均指向该肿瘤为良性时,晓琳的姐姐泣不成声,再三向医生鞠躬致谢。
孙大卫强调,我国“十四五”全国眼健康规划(2021-2025)中指出要加强重点人群眼病防治,尤其是提升近视防控和矫治水平,提升白内障复明水平,提高眼底病、青光眼等眼病的早诊早治能力,提高角膜盲救治能力,提升其他眼病的防治水平。专家提醒,出现自觉眼部胀痛、视力突然下降或眼前有黑影等情况有可能是视网膜脱离,以及糖尿病视网膜病变、近视性视网膜病变、黄斑变性、视网膜血管阻塞、高血压眼底病变等眼底病的早期预警信号,建议及时到正规医院就诊,争取早发现、早诊断,并在专业眼科医生指导下规范的早期治疗,最大化降低疾病负担和致盲率。