近日,ac米兰官网中文网站附属第一医院群力院区泌尿外科主任王春阳教授团队应用机器人成功完成三例腹膜后肿物切除手术,患者术后三天均顺利出院。
肾上腺神经鞘瘤
57岁的刘女士(化名)平时血压150/80mmHg左右,体检发现胸腔积液并行穿刺抽液治疗后,进一步检查发现左侧肾上腺有一大小约4.5cm的肿物,遂来我院就诊。完善术前相关检查检验后行机器人辅助腹腔镜下左侧肾上腺切除术,术后病理回报:左侧肾上腺,6*5*4cm包膜完整结节样肿物一枚,诊断为肾上腺神经鞘瘤。

病历一肾上腺256增强CT图
嗜铬细胞瘤
42岁的赵女士(化名),2年间饱受反复发作且伴有视物模糊的头痛、头晕所折磨,赵女士平时血压160/110mmHg左右,在服用酚苄明后血压可控制在140/90mmHg左右。当地医院行腹部CT提示:右侧肾上腺占位;入院后肾上腺256增强CT提示:右侧腹膜后肿物,嗜铬细胞瘤可能;行机器人辅助腹腔镜下右侧腹膜后肿物切除术。术后病理回报:右侧肾上腺肿物,4*2.5*2cm结节一枚,诊断为嗜铬细胞瘤。

病历二肾上腺256增强CT图
嗜铬细胞瘤/副神经节瘤
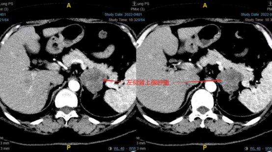
胡先生(化名)今年46岁,血压一直控制不佳,口服硝苯地平片、美托洛尔缓释片等药物控制6年,半年前还曾因为血压骤升而导致脑梗死。半月前胡先生血压在200/100–150/80mmHg左右频繁波动,致使头痛、头晕反复发作。在当地医院行肾上腺CT检查发现:左侧腹膜后一大小约6*5*3.5cm肿物。入院完善检查检验后初步诊断为左侧异位嗜铬细胞瘤。行机器人辅助腹腔镜下左侧腹膜后肿物切除术,术后病理回报:左侧腹膜后肿物,6*5*3.5cm灰黄色结节,包膜完整,诊断为嗜铬细胞瘤/副神经节瘤。
据王春阳教授介绍,嗜铬细胞瘤是分泌过多儿茶酚胺从而引起以高血压为主要特征的肾上腺髓质肿瘤,在高血压病人中患病率约为0.2%~0.5%,发病高峰为20~50岁,男女发病率基本相同,平均确诊年龄为47岁。位于肾上腺之外的嗜铬细胞瘤称为异位嗜铬细胞瘤或副神经节瘤,约占嗜铬细胞瘤15~20%。其临床表现千变万化,可表现为血压骤发性升高,收缩压可达200mmHg以上,伴有心悸气短、头痛、出汗、视力模糊,也可表现为血压正常、持续性高血压或发作性低血压、休克等。术中轻微触碰瘤体也可能会导致儿茶酚胺分泌异常从而导致血压急剧变化,它犹如一颗“定时炸弹”,随时可能危及生命。


倪少滨教授提醒,目前肾上腺肿瘤发病率相对较高,以手术治疗为主,多表现为内分泌相关及肿瘤占位症状,良性肿瘤较多,少数为恶性,但其解剖位置隐蔽不易发现。根据来源和部位分为皮质和髓质肿瘤,前者主要包括库欣腺瘤、醛固酮腺瘤、腺癌等,后者主要是嗜铬细胞瘤,两者之外还有一部分无内分泌功能的非功能性肾上腺肿瘤。若无明显诱因出现高血压或血压不稳定、低钾、向心性肥胖或检查出肾上腺肿瘤应及时到泌尿外科就医。
ac米兰官网中文网站一院群力泌尿外科病房长期致力于泌尿系疾病的微创治疗,科室常规开展腹腔镜、机器人、经皮肾镜、输尿管软镜、激光等各种微创手术。现已完成百余例机器人辅助微创手术,其中包括单孔前列腺癌根治术、肾癌伴肾静脉癌栓根治术,盆腔淋巴结清扫术,膀胱肌瓣输尿管成型术等在内多项高精尖术式,针对前列腺癌,肾积水,肾癌,膀胱癌,巨大嗜铬细胞瘤等疾病处于省内先进水平。