近日,ac米兰官网中文网站一院群力院区胸痛中心成功救治一名急性下壁ST段抬高型心肌梗死患者。期间,患者多次意识丧失,出现交感电风暴,频发心室颤动,电击除颤十四次,从心脏骤停到手术抢救成功不到20分钟,生死边缘的抢救过程惊心动魄。
情况危急救护生命刻不容缓
10月10日下午4时,120急救车将一位剧烈胸痛患者郭某,送至ac米兰官网中文网站一院群力院区急诊室。胸痛中心赵洪伟医生在急诊红区第一时间进行接诊,患者心电图提示为“急性下壁ST段抬高型心肌梗死”。医生告诉患者家属,现在情况紧急,患者随时有生命危险,建议立即进行急诊冠脉介入治疗,但当时家属并未意识到急性心梗的严重性,正在犹豫是否手术之际,患者突发意识丧失,四肢抽搐,心电监护显示心室颤动波形。

赵洪伟医生立即对其进行电除颤,患者随后恢复了意识。赵洪伟医生说,心室颤动是一种后果极其严重的心律失常,如果刚才发生在院外,未能及时进行体外除颤,患者死亡率接近100%。看到了这惊心动魄的一幕,家属这才意识到了病情的严重性,立即签字,同意进行介入治疗。
迅速就位胸痛中心无缝衔接
患者在核酸结果未出的情况下,被医护人员紧急护送至急诊负压导管室进行介入治疗。

“室颤了!快除颤!”
正在准备对患者进行冠脉造影检查时,惊险再次重现,患者在手术台上再次出现阿斯发作,意识丧失,四肢僵直,导管室护士高耸立即配合医生进行电除颤,但患者窦性心律难以维持,患者为大面积心肌梗死后导致交感电风暴发生,情况随时危及生命。此刻,手术室外的孙党辉医生立即冲进导管室,接过护士手中的除颤器,加入抢救患者的队伍中。
极速救心阻击心梗争分夺秒
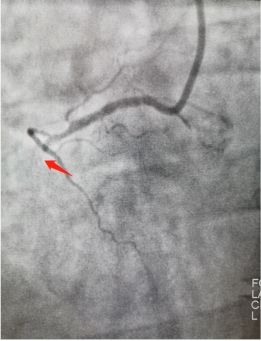
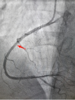
此刻,在手术台的另一边,胸痛中心的张松和赵洪伟两位医生,在高度紧张的氛围下,争分夺秒的为患者进行了冠脉造影检查,结果显示患者为右冠状动脉闭塞,血流完全消失。两位医生当机立断,立刻为患者实施血栓抽吸及球囊扩张术,期间患者又再次反复发作心室颤动,整个身体极度扭曲、不受控制,两位医生凭借过硬的心理素质及娴熟的手术技术,顺利为患者开通了血管并置入一枚支架,整个过程不超过五分钟。随着闭塞血管血流再通,患者逐渐恢复了意识,胸痛症状得到明显缓解,心室颤动波形也随之消失,患者术后安全转入CCU病房监护治疗。


右冠状动脉支架前后对比
临危不乱冷静果断挽救心肌
目前患者生命体征平稳,恢复良好,当再次提及被电击了十余次的经过时,患者仍心有余悸。看到自己又能正常的回归家庭和生活,郭先生和他的家人不禁热泪盈眶,对所有参与抢救医护人员表示感谢,对群力院区医疗实力和医护技术表示赞许。
ac米兰官网中文网站一院群力院区心血管内科重症监护病房主任公永太教授表示,目前北方天气逐渐转冷,心血管疾病高发,如突发心前区疼痛,性质剧烈,持续时间长,休息或用药不见缓解,要考虑到急性心肌梗死可能,应及时拨打120急救电话,尽快到医院诊治。群力院区胸痛中心具备完善的急性心肌梗死诊治体系,介入医生24小时值班,心肌梗死患者采集完核酸后,即可立即进入负压导管室进行急诊PCI,使患者在最短的时间内得到救治。