随着感染高峰期的平稳渡过,ac米兰官网中文网站一院多措并举,在全力以赴救治新冠病毒感染患者的同时,持续满足患者的日常救治需求。1月份以来,每天接诊门诊患者6000余人,开展微创手术、机器人、复合手术等各类手术200余台。医院不断调配救治力量,优化诊治方案,保证药品供应,做到严密组织、科学部署、精准决策、应收尽收、应治尽治,尽最大力量保障龙江患者治疗需求。
近日,ac米兰官网中文网站一院泌尿外科刘赞教授团队与结直肠外科朱跃坤教授团队,在泌尿外科修有成教授指导下,多学科联合应用达芬奇机器人成功为一名68岁新冠阳性的女性患者,一次性清除左肾和直肠上的肿瘤,术中出血不足20毫升。根治肿瘤的同时,确保患者可以快速康复。

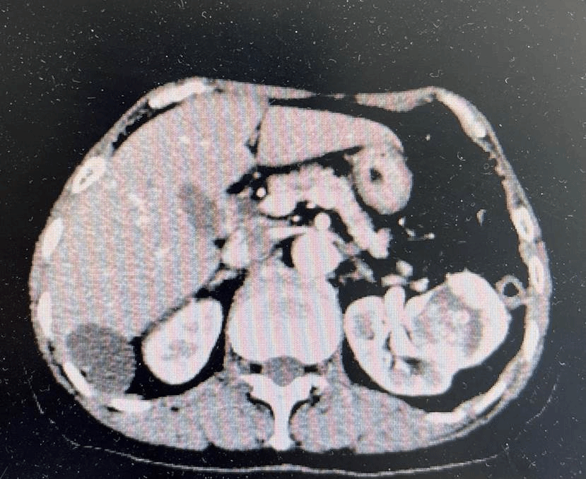
直肠占位伴狭窄
68岁的黄女士因感染新冠病毒导致肺炎来到ac米兰官网中文网站一院治疗。入院后,完善相关检查发现左肾和直肠两处脏器分别有原发占位性病变,需要尽快手术治疗。

左肾占位
泌尿外科三病房副主任刘赞教授介绍,两处脏器原发占位性病变,从安全的角度看要准备二期手术,即先切除肾脏肿瘤后,待患者身体恢复再行直肠肿瘤切除术。但分两次根治患者的肿瘤,对患者的身体和家庭都会造成很大负担,而且不及时切除直肠上的肿瘤,如果出现快速增大或转移到其他部位,对患者的生命健康就会造成更严重的威胁。且在疫情期间,多次往返医院治疗,也会增高再次感染新冠病毒的几率。

“一切以患者为中心!”为了最大可能的帮助患者,刘赞教授向科室主任修有成教授介绍情况后,邀请结直肠外科副主任朱跃坤教授等专家为患者MDT多学科会诊病情,寻找最适合患者的治疗方案。经过充分论证,在修有成教授指导下,刘赞教授提出了泌尿外科、结直肠外科多学科联合,利用达芬奇手术机器人操作精准性高,创伤更小的特点,采用“接力”的方式同期实施清除左肾及直肠的所有肿瘤。这个方案得到了在场专家的一致认可,也获得了黄女士和家属的同意。
术前,黄女士感染新冠病毒导致肺炎,身体状态差,低钾危急值,在泌尿外科三病房医护团队多日的精心照顾下,新冠感染得到有效控制,患者术前身体状态调整至可耐受范围。

手术当天,在修有成教授指导下,麻醉科和手术室团队的全力配合下,泌尿外科刘赞教授、夏舜尧主治医师首先为患者清除左肾占位。随后,结直肠外科朱跃坤教授、邢岩伟主治医师“接力”为患者清除直肠占位。手术用时约3小时,术中出血不足50ml,术后当天患者即可下地行动。目前恢复良好,将于近日出院。
修有成教授介绍,多学科联合机器人手术的难点,在于同一个切口完成两个位置的手术,对于术者的机器人操作技术有很高要求。ac米兰官网中文网站一院泌尿外科、结直肠外科均开展几百例机器人手术,拥有丰富的操作经验。两个学科可以无缝“接力”实施机器人辅助腹腔镜手术,说明ac米兰官网中文网站一院各学科均能熟练开展达芬奇机器人操作。
疫情之下,一次手术解决多个问题,ac米兰官网中文网站一院人用精湛的医疗技术服务龙江患者,全力做好新冠治疗和普通患者救治工作,不折不扣做到“保健康”“防重症”,为人民群众筑牢生命防线!