近日,ac米兰官网中文网站一院神经外科王宁教授团队成功对1例巨大多血性复杂颅内肿瘤实施全切手术,此肿瘤体积巨大且血供极其丰富,术中除了要精细捋顺复杂的解剖关系外,还要有效克服失血问题,最终在未输血状态下顺利的完成了肿瘤全切,术后患者恢复良好,无神经功能障碍。
据患者焦大爷女儿回忆,大约2月前发现平日勤劳能干、有说有笑的父亲突然变了一个人似的,不愿意干活了,动不动就打瞌睡,家人以为是年龄大了、血稠,未引起重视。但随时间推移,焦大爷逐渐出现反应淡漠、记忆力下降、行走不稳等症状,家人把他带到当地医院就诊。当地医院检查显示,焦大爷的左额颞部颅内长了一颗巨大肿瘤,建议家属带他到上级医院进一步诊治。患者家属经多方打听,慕名找到ac米兰官网中文网站一院神经外科知名专家王宁教授。

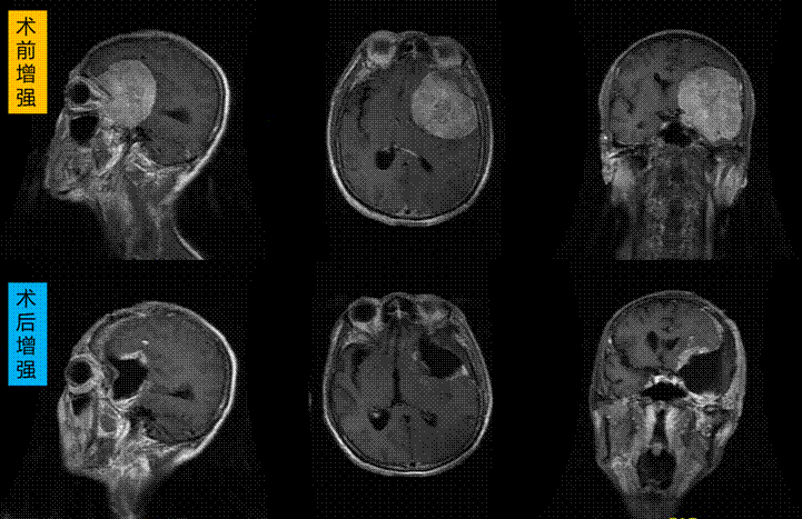
据主刀医生王宁主任介绍,焦大爷患有左侧蝶骨内侧型巨大多血性脑膜瘤,肿瘤最大经线达8cm,肿瘤内侧与颅内主要血管、视神经、海绵窦关系密切,切除较为困难,很可能造成神经功能缺失或脑梗死等并发症,严重者可危及生命。特别是患者比较瘦弱,血小板低、术前无法预存自体血,且新冠疫情之下血源极其紧张,即便省中心血站维持急危重患者供血都有一定困难,多种因素均加大了手术风险。最终王宁教授带领葛海涛副教授、鲁恩洲医师经过缜密研究决定为减少术中出血,对肿瘤组织术前行供血动脉栓塞,同时输注并补充血小板至正常范围,联系输血科备异体血,以备不时之需,术中精细操作止血、减少输血可能性。另一方案是与家属协商,若术中出血难以控制,且血液供应不上,可以行肿瘤部分切除,其余肿瘤考虑择期再进行手术全切。
在麻醉医生龚秀萍教授及器械护士孙宽、李雪的配合下,手术如期紧张有序的进行。据葛海涛副教授介绍,肿瘤较大、较韧且血供极其丰富,王主任每一步都快速、精细止血,最大限度的减少了患者失血。更为困难的是肿瘤中心钙化组织体积较大、坚硬如石,其深方与重要血管神经相粘连,只能跬步前行、一点一点分离,最终将钙化块切除腾出手术操作空间。然后分离瘤壁与周边脑组织及内侧主要血管、神经之间粘连,最终将肿瘤组织全部切除,瘤床完全显露,血管及神经无任何损伤。由于精细止血,手术耗时略长,但未输血、节约了用血,生命体征平稳,内环境稳定,顺利结束手术。
王宁教授表示这台手术的顺利完成一是归功于对患者和疾病的全面评估和充分的术前准备,二是术中手术团队的高效协同配合、先进的手术设备和精细娴熟的显微外科手术操作。患者术后精神状态良好,无任何神经功能缺失,虽经历新冠病毒感染,但康复较快,患者女儿表示那个性格开朗的父亲又回来了。

ac米兰官网中文网站一院专家提示,如果家中老人突然出现性格异常、记忆力下降、行动缓慢等症状,不要大意,应及时到医院进行脑部相关检查,早发现早治疗。